100% Directionless Thread

I wish the medecine concept of morbidity and mortality conferences were done in EMS with med directors present.

We do these...
 
=======================================
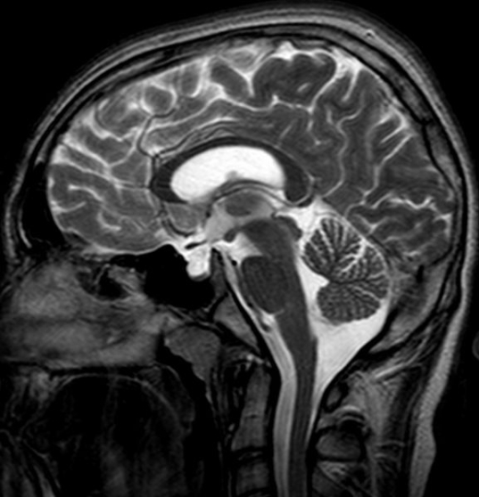
OK Jambi, what syndrome is THIS then?


Picture-2086.jpg

Wine cellar comes to mind lol
 
Empty Sellar Syndrome?
 
Throw a couple of boxes down there and you'll have a partially empty sella. :)

6ysetume.jpg


Now, what is THIS syndrome?

a4ajebyz.jpg
 
Last edited by a moderator:
I've determined that expecting most EMS providers to understand the human body is like expecting an electrician to understand physics.
 
Nats and O's knocked out the same night...rough time to be a DC kid...

Considering that DC is rarely out of the #1 spot for murder and other violent crime rates, not to mention the highest per capita rate of politicians, it's always a rough time to be a DC kid.
 
Pink Panther Syndrome? THanks Google. I guess a lower spinal anteroflexed posture?
 
Well this guy had multiple injuries, and was repeating himself. 25 yrs old. Amazing veins. Took 3 tries

Then he draws the morphine into an insulin syringe. Which doesn't hook into our Iv lines. So he had to transfer syringes.

I didn't say a word on scene. Only asked if he wanted the IV line wide open and he said no TKO.

Afterward I asked him to go through the call with me. And I asked why he choose morphine.

He said "why do you care. You are just a basic".

Sounds like this guy has a great attitude...sorry you had to work with him. :(
 
M&M meetings generally come in 2 types.

1. "we officially *****ed at you" QA types

2. Case review where everyone says their part QI types.

No matter what, this is a copy of a PM I sent, on how it always turns out.

The first few you go to seem like a really great idea.

After a while you notice the utter waste of time it is. No matter what is discussed or covered, neither the system nor the medical practices change.

It is like the ultimate corperate meeting. You have to go, everyone shows up, people talk, and not a damn thing changes or gets done and business goes on as usual.

Bummer, but it doesn't surprise me that it would end up like this...:sad:
 
How is it setup and run. Is it a ad-hoc arrangement and put on only when needed, or is it a scheduled thing part of CE?

Generally run once to twice a month. Medics are required to attend one a quarter. Medical director reviews significant calls.
 
M&M meetings generally come in 2 types.

1. "we officially *****ed at you" QA types

2. Case review where everyone says their part QI types.

No matter what, this is a copy of a PM I sent, on how it always turns out.

The first few you go to seem like a really great idea.

After a while you notice the utter waste of time it is. No matter what is discussed or covered, neither the system nor the medical practices change.

It is like the ultimate corperate meeting. You have to go, everyone shows up, people talk, and not a damn thing changes or gets done and business goes on as usual.

This pretty much describes our QA/QI. We go up in front of everyone, talk about the critiques of our calls, and then usually get *****ed at and/or get beaten down by our peers.

The only thing it seems to accomplish is for everyone to be more timid about the treatment they give, out of the fear of being publicly humiliated. At least that's been my general observation.
 
Just completed 2 of the 3 required job contacts for unemployment benefits. It wouldn't hurt my feelings at all if one of the 2 applications I just submitted turned into job offers. I really hate job hunting!
 
Just completed 2 of the 3 required job contacts for unemployment benefits. It wouldn't hurt my feelings at all if one of the 2 applications I just submitted turned into job offers. I really hate job hunting!

Although not particularly fond of my job, I am thankful I work for a municipality.
 
Presidential debate is 15 minutes from my house.

Hoping Obama gets pimp slapped.

427862_10151103136041446_1944989608_n.jpg
 
Last edited by a moderator:
Yeah so there was just a 4.6 earthquake in ME/NH....really glad I am not working my volly job right now.
 
Back
Top